Nguyen Pham Thao Nhi, Nguyen Khanh Thuan, Nguyen Phuc Khanh, Nguyen Thanh Lam*, Tran Duy Thanh, Pham Trang Thanh Nguyen.
1. Introduction
Mycoplasma gallisepticum infection is commonly designated as chronic respiratory disease (CRD) of chickens and infectious sinusitis of turkeys. M. gallisepticum disease is characterized by respiratory rales, coughing, nasal discharge, and conjunctivitis, and frequently infraorbital sinusitis in turkeys. Clinical manifestations are usually slow to develop and the infection or disease may have a long course. Complicated CRD or “air sac disease” describes a severe airsacculitis that is the result of M. gallisepticum or M. synoviae infection complicated by a respiratory virus infection (e.g. infectious bronchitis or Newcastle disease) and usually Escherichia coli (McMullin 2020).
2. Aetiology
2.1. Bacteria characteristics
M. gallisepticum is a bacteriumbelonging to the class Mollicutesand the family Mycoplasmataceae. It is the causative agent of CRD in chickens and infectious sinusitis in turkeys, chickens, game birds, pigeons, and passerine birds of all ages (Hennigan, Driskell et al. 2012).The genus Mycoplasma has more than 120 species, a DNA G+C content of 23%-40%, a genome size of 580-1,350 kb, requires cholesterol for growth, occurs in humans and animals, and has a usual optimum growth temperature of 37°C. The genus Ureaplasma is differentiated on the basis of hydrolysis of urea. Acholeplasmas are classified in order Acholeplasmatales, family Acholeplasmataceae, genus Acholeplasma. They are characterized by lack of a growth requirement for cholesterol (Razin, Yogev et al. 1998). Phylogenetic analysis of the 16S ribosomal RNA (16S rRNA) gene and 16S‐23S rDNA spacer sequences have proven to be useful to analyze genetic relationships and to identify and classify mycoplasmas. The complete genome sequences of several Mycoplasma species have been reported and as more Mycoplasma genomes become available, the analysis and comparison of these genomes allows further characterization and investigation of the genetic basis of Mycoplasma biology and evolutionary relationships(McMullin 2020).
2.2. Classification
The most up‐to‐date listing of Mycoplasma species can be found on the website of the National Center for Biotechnology Information. The minimum requirements for the description of new species of Mycoplasma are determined by the International Committee on Systematics of Prokaryotes Subcommittee on the Taxonomy of Mollicutes (Brown, Whitcomb et al. 2007).
2.3. Pathogenicity
Isolates and strains of M. gallisepticum vary widely in their relative virulence, depending on the genotypic and phenotypic characteristics of the isolates, method of propagation, number of passages through which they have been maintained, and challenge route and dosage. The pathogenic reference M. gallisepticum strains most commonly used for in vitro and in vivo studies are strains S6, A5969 and R. The neurotropic S6 strain was isolated from the brain of a turkey with nervous signs, whereas the A5969 and R strains were isolated from chickens with CRD. The R strain has been widely used for bacterin production and as a virulent strain for M. gallisepticum challenge studies. The genotypic and phenotypic properties of low‐ (Rlow) and high- (Rhigh) passage R strain have been intensively studied. Rlow is capable of cytadherence and cell invasion, and is pathogenic, whereas Rhigh shows diminished capacities in comparison. The commercially available live attenuated M. gallisepticum vaccine strains differ in relative virulence. F strain vaccine has proven relatively more virulent for turkeys than chickens. The 6/85 and ts‐ll vaccine strains are less virulent for chickens and turkeys than the F strain. House finch and house finch‐like strains of M. gallisepticum have shown relatively low virulence for chickens and turkeys.
3. History
In 1935, Nelson (Nelson 1935) described coccobacilliform bodies associated with an infectious coryza of slow onset in chickens. Markham (Markham and Wong 1952) isolated and identified pleuropneumonia like organisms (PPLO) as the etiologic agents of CRD in chickens and infectious sinusitis in turkeys in 1952. The species designation M. gallisepticum was made in 1960 by Edward and Kanarek (Edward and Kanarek 1960). See Yoder and Hofstad (Yoder Jr 1963) and prior editions of Diseases of Poultry for reviews of the historical M. gallisepticum literature (McMullin 2020).
4. Epidemiology
4.1. Geographic distribution
M. gallisepticum can be found worldwide in poultry. The M. gallisepticum lineage maintained in finches was first reported in the eastern US in the mid-1990s. Since that time, it has since spread to much of the U.S. and parts of Canada. M. gallisepticum infections have also been reported in wild birds in other regions, such as Europe and Asia. However, there is currently no evidence that the house finch lineage occurs outside North America.
4.2. Susceptible hosts
M. gallisepticum infections naturally occur primarily in gallinaceous birds, particularly chickens and turkeys. However, M. gallisepticum has also been isolated from naturally occurring infections in pheasants, chukar partridge, grey partridge, peafowl, bobwhite quail, and Japanese quail. M. gallisepticum has also been isolated from naturally infected ducks and geese (McMullin 2020). M. gallisepticum has no public health significance.
M. gallisepticum can probably infect susceptible birds at any age, although very young birds are seldom submitted with naturally occurring disease. In broiler flocks, most outbreaks occur after 4 weeks of age, and signs are frequently more marked than those observed in mature flocks. Younger birds are generally considered to be more susceptible to experimental infections; in one study, chickens younger than 4 weeks of age developed significantly more severe clinical disease than 4‐ or 6‐week‐old chickens following virulent M. gallisepticum challenge.
4.3. Transmission
Horizontal transmission of M. gallisepticum occurs readily by direct or indirect contact of susceptible birds with clinically or subclinically infected birds, resulting in high infection/disease prevalence within flocks. The upper respiratory tract and/or conjunctiva are portals of entry for the organism in aerosols or droplets. There are strain differences in the rates of M. gallisepticum horizontal transmission, and transmission rates increase with increasing population density. Described an experimental model of horizontal transmission in chickens to study the transmission dynamics of M. gallisepticum and the efficacy of intervention strategies. Clinically or subclinically infected carrier birds are essential to the epizootiology of M. gallisepticum disease because M. gallisepticum seldom survives for more than a few days outside of a host. Backyard flocks, multiple‐age commercial layer flocks, and some wild bird species are potential reservoirs of M. gallisepticum infection. Good management and biosecurity practices are necessary to ensure that M. gallisepticum infections are not introduced to M. gallisepticum clean flocks from these and other sources.
The ability of M. gallisepticum to survive for up to several days on contaminated fomite materials, including air borne dust, droplets, or feathers, provides an important mechanism for indirect horizontal transmission and more widespread disease outbreaks. M. gallisepticum remained viable in chicken feces for 1–3 days and in egg yolk for 6–7 weeks at 20°C (Grau, Laigret et al. 1991) and survived in the human nasal passage for 24 hours; on straw, cotton, and rubber for 2 days; on human hair for 3 days; and on feathers for 4 days (Kleven 1985). The ability of some strains of M. gallisepticum to produce biofilms may facilitate their survival in the environment. In experimental studies, indirect M. gallisepticum transmission was demonstrated from infected fomites to naïve house finches, and low‐level M. gallisepticum transmission occurred between groups of chickens separated by short distances in the same room.
M. gallisepticum can be transmitted vertically from naturally infected hens to their progeny, and vertical (transovarian or egg) transmission has been induced following experimental infections of susceptible chickens. The highest rates of transmission occur during the acute phase of the disease when M. gallisepticum levels in the respiratory tract peak; thereafter, egg transmission rates decline as the postinfection interval lengthens. In six separate studies, peak egg transmission of the virulent R strain of M. gallisepticum occurred between 3 and 8 weeks after challenge and ranged from 14% to 53%. Egg transmission rates during chronic infections under field conditions are likely to be lower than those reported for experimental infection. However, even low rates of vertical transmission may result in high flock infection levels as a result of horizontal transmission of M. gallisepticum from infected progeny that hatch. M. gallisepticum control programs must focus on primary and multiplier breeder flocks because of the severe epidemiological consequences of egg transmission (McMullin 2020).
5. Pathogenesis
Except for infections acquired by egg transmission, the upper respiratory tract and/or conjunctiva are generally accepted to be the portals of entry for naturally acquired M. gallisepticum infections. M. gallisepticum is considered to be primarily a surface pathogen of the respiratory tract and conjunctiva, although detection in the blood stream, and spread to other organs, e.g., brain and oviduct, indicates that systemic infections can occur. Gliding motility of M. gallisepticum facilitates access to target tissues and breach of host physical defenses. Attachment of M. gallisepticum to host cells (cytadhesion), a prerequisite for successful colonization and subsequent pathogenesis, is mediated by the attachment or terminal organelle and its associated cytadhesive surface lipoproteins. The M. gallisepticum surface lipoprotein pMG A1.2 (VlhA1.2) was recently reported to interact with chicken alipoprotein A‐1 (ApoA‐1) during in vitro infection, suggesting a possible role of ApoA‐1 as a host receptor for VlhA1.2. Edema, ciliostasis, deciliation, surface erosion, and catarrhal changes occur subsequent to M. gallisepticum attachment, and are important in the pathogenesis of infection. M. gallisepticum ‐induced ciliostasis was demonstrated in tracheal organ cultures. In in vivo studies, tracheal edema, deciliation, and catarrhal changes were observed as early as 3 days after virulent M. gallisepticum R strain infection (McMullin 2020).
The robust lymphoproliferative host immune response and ensuing tissue damage (immunopathology) elicited by M. gallisepticum attachment and colonization is considered key in the pathogenesis of M. gallisepticum disease. The ability of M. gallisepticum to modulate the host’s immune response through immunostimulation or immunosuppression has been demonstrated, and may be achieved through the stimulation or suppression of chemokines and cytokines, and possibly by IgG digestion. The establishment of chronic infection despite the presence of an active immune response is a feature of M. gallisepticum disease, which may be achieved through several recognized mechanisms, including the aforementioned ability of M. gallisepticum to modulate the host’s immune response to infection. Phenotypic variation generated by phase variable expression of the M. gallisepticum lipoproteins VlhA, GapA, and PvpA, and the ability of some M. gallisepticum strains to invade host cells may also facilitate immune evasion and chronic infection. The cell invasion potential of some M. gallisepticum strains may be a mechanism for their systemic spread (McMullin 2020).
The pathogeneses of egg production drops and egg transmission induced by M. gallisepticum infection have not been fully elucidated. Salpingitis with ovarian regression and oviductal atrophy was associated with M. gallisepticum colonization of the oviduct and egg production drops. The detection of M. gallisepticum in eggs has been associated with the presence of air sac lesions and the isolation of M. gallisepticum from the air sacs and/or oviducts. Complicating bacterial and viral infections (especially with E. coli and respiratory viruses), immune suppression, poor environmental conditions and other stressors result in more severe M. gallisepticum disease (McMullin 2020).
6. Clinical signs and pathology
6.1 Clinical signs
Chickens: The most characteristic signs of naturally occurring M. gallisepticum disease in adult flocks are tracheal rales, nasal discharge, and coughing. Feed consumption is reduced, and birds lose weight. In laying flocks, egg production declines but is usually maintained at a lowered level. However, flocks may have serologic evidence of infection with no obvious clinical signs, especially if they are recovered carriers. Male birds may have the most pronounced signs, and the disease is often more severe during winter. Severe outbreaks with high morbidity and mortality observed in broilers are frequently caused by concurrent infections and environmental factors. Cases of keratoconjunctivitis caused by M. gallisepticum infection in commercial layer pullets were characterized by facial and eyelid swelling, increased lacrimation, and conjunctival congestion (McMullin 2020).
Turkeys: Turkeys are more susceptible to M. gallisepticum than chickens, commonly developing more severe clinical signs, including sinusitis, tracheal rales, coughing, dyspnea, listlessness, decreased feed intake, and weight loss. As in chickens, more severe outbreaks with high morbidity and mortality frequently follow the involvement of complicating factors such as colibacillosis or environmental stressors. Nasal discharge and foamy eye secretions often precede swelling of the infraorbital sinuses, which may result in partial to complete eye closure. Feed consumption may remain normal if sight is not affected, but progressive disease ultimately results in poor weight gain and weight loss. Encephalitic forms of M. gallisepticum have been reported in 8 to 16 weeks old commercial meat turkeys displaying torticollis and/or opisthotonos. In breeding flocks, there may be a drop in egg production (McMullin 2020).
Figure 6. Clinical signs of turkeys infected with M. gallisepticum
6.2 Pathology
Gross pathology: Gross lesions consist primarily of mucosal congestion and catarrhal exudate in nasal and paranasal passages, trachea, bronchi, and air sacs. Sinusitis with mucoid to caseous exudate accumulation is usually most prominent in turkeys, but may also be observed in chickens and other affected avian hosts. Air sacs frequently contain caseous exudate that may be focal, multifocal, or diffuse. Some degree of pneumonia may be observed. In severe and chronic respiratory infections in chickens or turkeys, caseous airsacculitis and fibrinous pericarditis and perihepatitis result in high mortality and extensive condemnations at processing. These lesions are not, however, pathognomonic for M. gallisepticum. Commercial layer chickens with M. gallisepticum keratoconjunctivitis had marked facial and eyelid edema with occasional corneal opacity. Conjunctivitis with periocular swelling and inflammation are characteristics of M. gallisepticum in house finches and other songbirds and have been seen in chukar partridges. Salpingitis has been associated with decreased egg production in M. gallisepticum‐infected flocks (McMullin 2020).
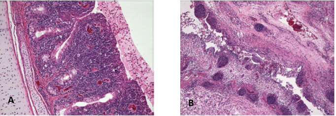
Microscopic pathology: Microscopic pathology caused by M. gallisepticum infection in chickens and turkeys is characterized by marked thickening of the mucous membranes of affected respiratory tract tissues as a result of infiltration with mononuclear cells (primarily lymphocytes) and lymphoid follicle hyperplasia. Metaplasia of the respiratory epithelium from pseudo‐stratified ciliated columnar to nonciliated low cuboidal or squamous has been described. Increased tracheal mucosal thickness is commonly used as a measure of M. gallisepticum disease severity. Lungs may have pneumonic areas, lymphofollicular changes, and granulomatous lesions. Detailed examinations of M. gallisepticum‐infected chicken air sacs via light microscopy, scanning electron microscopy, and histomorphometric evaluation have been published. Keratoconjunctivitis in layer chickens associated with M. gallisepticum infection is characterized by epithelial hyperplasia, marked lymphocytic infiltration with the formation of germinal centers, and subepithelial edema, resulting in marked thickening of the eyelids.
Histologic examination of turkey brains in cases of encephalitic M. gallisepticum revealed acute to subacute encephalitis with lymphocytic cuffing of vessels, vasculitis, focal to multifocal parenchymal necrosis, and leptomeningitis. Salpingitis associated with reduced egg production in layer chickens was characterized by marked thickening of the oviductal mucosa caused by epithelial hyperplasia and marked lymphoplasmacytic infiltration (McMullin 20
Figure 5. Gross pathology of chickens infected with M. gallisepticum
Figure 6. Microscopic pathology of chickens infected with M. gallisepticum
6.3. Morbidity and Mortality
Embryos: Embryo mortality resulting from egg transmission of M. gallisepticum results in the reduced hatchability observed following M. gallisepticum infection of breeders. Inoculation of broth cultures or exudates containing M. gallisepticum into 7‐day‐old embryonating chicken eggs via the yolk sac route usually results in embryo deaths within 5–7 days, with dwarfing, generalized edema, liver necrosis, and splenic enlargement. M. gallisepticum strains varied in their in ovo virulence, and no correlation was found between in ovo virulence and other in vivo or in vitro methods for virulence evaluation. Inoculation of embryonating eggs is rarely employed for the primary isolation of avian mycoplasmas now that adequate culture media are available.
Chickens: M. gallisepticum typically infects most chickens in a flock, but clinical disease is variable in severity and duration. It tends to be more severe during the cold months and in younger birds, although there may be significant egg production losses in laying flocks. Although M. gallisepticum is considered the primary cause of CRD, other organisms frequently cause complications, precipitating severe air sac infection, often designated complicated CRD or “air sac disease.” Field or live vaccine strains of Newcastle disease or infectious bronchitis viruses may exacerbate M. gallisepticum infection, which is frequently complicated by E. coli. Concurrent infections with turkey rhinotracheitis virus in turkeys and low pathogenic avian influenza virus in chickens also resulted in more severe M. gallisepticum disease. Mortality may be negligible in adult laying flocks, but there can be a reduction in egg production. In broilers the mortality may range from low in uncomplicated disease to as much as 30% in complicated outbreaks, especially during the colder months. Retarded growth and carcass condemnations, and downgrading at processing constitute additional losses.
Turkeys: M. gallisepticum infection of turkeys causes disease in most birds in a flock, which may last for months in untreated flocks. Turkeys do not consistently exhibit sinusitis, and the lower respiratory form of infection may be most prominent. Clinical signs, morbidity, and mortality associated with M. gallisepticum infection in turkeys may be highly variable. Typically, meat turkeys experience outbreaks between 8 and 15 weeks of age. Mild respiratory signs may progress in 2–7 days to a severe cough in 80%–90% of the flock, followed by the development of sinus swelling with nasal discharge in 1%–70% of birds in affected flocks. Condemnations at processing result from airsacculitis and related systemic effects.
7. Diagnosis
7.1. Differential diagnosis
M. gallisepticum infections of poultry must be differentiated from other respiratory diseases, taking into consideration that clinical M. gallisepticum disease often occurs in conjunction with complicating respiratory infections. Specific agent identification and or serologic procedures are needed to differentiate M. gallisepticum from other microbial causes of disease in chickens and turkeys. In chickens, M. gallisepticum should be differentiated from Newcastle disease, infectious bronchitis, and colibacillosis, which may be present as separate entities or as part of the complicated CRD syndrome. Other differentials for M. gallisepticum in chickens include infectious coryza (Avibacterium paragallinarum), fowl cholera (Pasteurella multocida), Ornithobacterium rhinotracheale infection, avian metapneumovirus, and respiratory disease caused by mildly virulent strains of infectious laryngotracheitis and avian influenza. M. synoviae may cause similar respiratory disease to M. gallisepticum, and may be present alone or in coinfections with M. gallisepticum. In turkeys, the respiratory disease and sinusitis induced by M. gallisepticum infection must be differentiated from low pathogenic avian influenza, Newcastle disease, avian metapneumovirus (turkey rhinotracheitis), fowl cholera, Bordetella avium (turkey coryza), O. rhinotracheale infection, chlamydiosis, respiratory cryptosporidiosis, aspergillosis, and M. synoviae infection (McMullin 2020).
7.2 Laboratory diagnosis
Diagnosis of M. gallisepticum infections in poultry breeder flocks is often performed in the absence of overt clinical signs, and screening for infection is usually accomplished by the slide plate agglutination (SPA) test with commercial stained antigen. Slide plate agglutination is highly efficient in detecting immunoglobulins of the immunoglobulin M (IgM) class, which are the earliest response to mycoplasma infection. The greatest disadvantage of the SPA test is low specificity, with false positive reactions and cross-reactions encountered relatively frequently. Serological detection of M. gallisepticum may be complicated by co-infection of flocks with M. synoviae, due to serological cross-reactions between the two mycoplasma species. In addition, non-specific serological reactions are frequently detected after use of inactivated vaccines (Glisson, Dawe et al. 1984). Further serological testing and or demonstration of the presence of the organism must be used to confirm positive or suspected positive SPA tests. In some cases, marking of birds which are sampled may be desirable to facilitate repeat testing of those which give suspicious serological reactions. Traditionally, the test of choice for confirmatory serology has been haemagglutination-inhibition (HI), which can be performed with fresh culture of a haemagglutinating test strain of M. gallisepticum (Levisohn and Kleven 2000) or with standardized preserved antigen. Diagnostically significant titres in the HI test may not be detected until three or more weeks after infection. However, the test is highly specific, even to the level of differentiation among strains (Kleven, Morrow et al. 1988). The major factors in support of alternative methods are the delay in development of HI antibodies, the strain specificity which may result in lack of detection of variant M. gallisepticum strains and the technical problems which may be encountered in producing high titre specific HI antigen and in performing the test. Commercial enzyme-linked immunosorbent assay (ELISA) kits are widely available and are increasingly used for serological confirmation (Kempf, Gesbert et al. 1994). Marked differences may be found among the different manufacturers, and care should be taken to use a product which has been validated with a wide spectrum of field samples and strains. The recommended ELISA kits have excellent sensitivity and specificity, but transitory non-specific reactions may still occur, for similar reasons to those occurring in the SPA test. Potential improvements in ELISA specificity may result from the use of a blocking ELISA utilising a M. gallisepticum-specific monoclonal antibody, utilisation of highly purified antigens (García, Elfaki et al. 1994) or recombinant antigen, as suggested for M. synoviae ELISA. However, increasing the specificity presents the risk of decreasing the ability to detect all M. gallisepticum strains. Some possible pitfalls exist in the dependence on serological testing for determination of flock status for M. gallisepticum. Temporal development of antibodies has been described in experimentally infected poultry and is presumed to follow a similar course in field infection. However, some flock treatments, such as the use of certain antibodies, may affect the development of the immune response. In experimental infection trials, fewer serological responses were found in M. gallisepticum-infected chickens or turkeys treated with antibiotics than in the M. gallisepticum-infected nonmedicated groups. Immune suppressive agents, infective or non-infective, may delay the onset of a detectable serological response to infection. Several studies have reported problems in detecting M. synoviae infection using the SPA test, primarily in turkeys. Although it is not clear to what extent, if at all, a similar phenomenon occurs with M. gallisepticum, some laboratories have introduced the ELISA test as a supplementary or alternative screening method. An ELISA kit which detects both M. gallisepticum and M. synoviae antibodies in a single reaction may be used for preliminary screening. Serological testing of progeny chicks to determine M. gallisepticum status is sometimes desired, particularly when access to the parental flock is limited or when questions arise about the testing methods used at the place of origin. Immunoglobulin G passes from the maternal circulation into the yolk of the egg, with the pattern of rise and fall of antibodies following that of the serum, but delayed by five to six days, the time required for the maturation of the egg. Transferred IgM has also been detected at low levels in the yolk, and more significant levels in the egg white. However, only maternal IgG, derived from the egg yolk, is present in the circulation of the chick. This passes from the yolk to the embryo during the last five or six days of embryo development and to the chick for approximately two days post hatching, at which times serum levels should peak. Catabolism of maternal antibody occurs during the first two weeks post hatching, with declining antibody titres. Synthesis of new antibodies in the chick, both IgG and IgM, begins in the first week of life, and is expected to reach adult levels at four to six weeks of age. The ELISA is usually recommended for testing of yolk samples in fertile or non-fertile eggs, and testing of maternal antibodies in the chick. Reactions to the SPA test may also be present, but results should be treated with caution due to the possibility of non-specific reactions and the relatively low sensitivity of the test for IgG. Antibodies to M. gallisepticum have been detected in chicken bile by various serological tests, including the indirect immunoperoxidase assay, which may also be an option for progeny chicks. In principle, the presence of the M. gallisepticum organism can be confirmed by isolation in mycoplasma media or by detection of the DNA. Isolation is still considered the 'gold standard', but the existence of circumstances where M. gallisepticum may be present but cannot be isolated even by the most skillful techniques, is now fairly well accepted. Detailed methods for culture and identification of M. gallisepticum may be found in the OIE Manual and other texts. The ability of culture media to support the growth of M. gallisepticum should be confirmed by testing with a low passage isolate. Identification of M. gallisepticum and differentiation from other mycoplasma isolates is usually based on immunological methods, most frequently immunofluorescence, requiring specific antisera that are not available commercially. An alternative method for identification is the use of DNA-based tests, using specific or universal mycoplasma tests. Polymerase chain reaction (PCR) represents a rapid and sensitive alternative to traditional culture methods which require specialised media and reagents and are time-consuming. A major advantage of the implementation of M. gallisepticum-PCR technology is that the investment in training and equipment can be exploited for diagnosis of an increasingly wide range of poultry diseases for which PCR is now one of the tests of choice. Results of the PCR test can be obtained in one or two days, as opposed to the usual one to three weeks for isolation and identification of M. gallisepticum. Equally important is the ability to obtain accurate PCR results in the presence of mixed infection with several species of mycoplasma, contamination by secondary bacterial infections, and inhibition of growth by antibiotics, antibodies or other host factors. In particular, the problem of co-infection with saprophytic mycoplasmas that grow more rapidly than M. gallisepticum in enrichment cultures is a major impediment to isolation. Detection of DNA from non-viable organisms, for instance after antibiotic treatment, is a possible drawback to the PCR method. The availability of a commercial kit for M. gallisepticum-PCR was a major impetus to the introduction and acceptance of the PCR technology as a supplementary diagnostic method for M. gallisepticum. An additional advantage of the commercial M. gallisepticum-PCR kit is the ability to differentiate between standard strains of M. gallisepticum and the F vaccine strain. Recently, increased interest has been shown in alternative, non-commercial PCR tests that are less expensive and somewhat more rapid than the commercial kit. All PCR methods require specialised and precise technical skills in a dedicated laboratory. Due to the high sensitivity of the test, care must be taken to avoid false positive reactions due to extraneous DNA, but this can be prevented or detected by appropriate controls. A critical control in the use of PCR for diagnosis is the inclusion of an internal control to avoid 'false negative' results due to the presence of inhibitory substances in the reaction mixture. Amplification of the internal control amplicon, which can be readily differentiated from the target DNA amplicon, indicates that there are no inhibitors of the PCR reaction. Recently, an intrinsic control was developed for ari M. meleagridis PCR test, but such a control is not in routine use for M. gallisepticum-PCR testing. A recent innovation in diagnosis is the development of molecular typing methods for differentiation of M. gallisepticum strains. The most commonly used molecular typing method is random amplification of polymorphic DNA (RAPD), a PCR-based technique which gives a unique strain fingerprint. This technique is in routine use in a few specialist laboratories, and readily distinguishes among the live M. gallisepticum vaccine strains and the field strains present in natural infection. The RAPD technique has also been used for molecular tracking of spread of infection among flocks and from putative reservoirs of infection in commercial poultry. The technique requires a high degree of technical expertise, and gives a satisfactory degree of reliability and reproducibility within each laboratory, but only to a limited degree between different laboratories. Thus, the precision necessary for construction of a database of strain-specific genomic fingerprints has not yet been achieved. A major impediment to widespread application is the necessity to perform RAPD on pure cultures of M. gallisepticum isolates. This requires specialised skills in addition to lengthening the time required to obtain results. Current research is attempting to develop rapid molecular methods for specific detection of M. gallisepticum biotypes, such as the live vaccine strains, as has been successful for the F vaccine strain.
Sampling, sample transport and processing for M. gallisepticum testing are highly critical stages in diagnosis. Sampling for M. gallisepticum in live birds is usually from the trachea or choanal cleft. In a comparative study, isolation rates were higher from the latter site, with less stress for the bird. During the acute phase of infection, between twenty and thirty individual samples for isolation are usually sufficient, whereas a larger sample size may be necessary at the chronic stage of infection. Swabbing technique, including the type of swab used and prewetting before sampling, may affect the success of isolation, especially when relatively few organisms are present. Isolation of M. gallisepticum has been successfully performed from the cloaca in experimentally infected chickens, although this may be attributable to an unusual tissue proclivity in the M. gallisepticum strain used. In birds sacrificed for sampling or in fresh carcasses, after necropsy, or from dead-in-shell or pipped embryos, isolation of M. gallisepticum may be performed successfully from a variety of organs, usually from the respiratory or reproductive tract. Isolation has been successful from the brain or the eye of fowl with relevant clinical signs, in addition to bile of infected birds. Sampling of carcasses for isolation, including those that have been frozen, may be problematic due to the presence of bacterial contamination or lysis of cells which liberates inhibitory substances. Sampling for PCR must also assure that conditions are such that no degradation of the DNA occurs by intrinsic or environmental factors. Several rapid methods for extraction of DNA from mycoplasma cells have been used for sample preparation for M. gallisepticum-PCR. Samples for PCR are often pooled (three to five tracheal swabs per PCR reaction) to increase sample size and reduce the cost of testing. However, pooling of samples may increase the possibility of inhibition by substances that may be present in the mucus or other tissue fluids, thus decreasing the sensitivity of the PCR test. When pooling large numbers of samples, purification of the DNA may be necessary using standard methods or rapid commercial kits. Testing for the presence of M. gallisepticum in the embryonated eggs or progeny chicks by culture is not recommended as a routine method for determining the status of the flock. Low levels of in ovo transmission necessitate the sampling of a large number of embryos. M. gallisepticum can be isolated with relatively high frequency from pipped eggs from infected flocks, and preliminary results suggest that this may also be a recommended sample site for PCR (Levisohn and Kleven 2000).
8. Treatment
Various antibiotics, including tylosin, tilmicosin, tylvalosin, tiamulin, valnemulin, oxytetracycline, chlortetracycline, enrofloxacin, danofloxacin, and lincomycin‐spectinomycin have demonstrated efficacy for the treatment of M. gallisepticum respiratory diseases, reducing the severity of clinical signs and gross lesions, and lowering mortality and performance losses. Antibiotic treatment may reduce M. gallisepticum populations in the respiratory tract, potentially reducing M. gallisepticum shedding and lowering the risk of horizontal transmission to neighboring flocks.
Reductions in egg production losses were reported following in‐feed tylosin medication of commercial layers. Medication of hens with tylosin, enrofloxacin, or lincomycin‐spectinomycin reduced egg transmission of M. gallisepticum. Injection or dipping of hatching eggs with antibiotics (e.g., tylosin and erythromycin) under a temperature or pressure differential have been used to reduce or eliminate M. gallisepticum egg transmission.
List of VEMEDIM’products support for treating CRD disease, click on the product name to have further detail information
No | Name of product | Dosage forms | Compositions | Image |
1. | Oral | Enrofloxacin 90 mg Bromhexine 10 mg Dexamethasone 0.5 mg
| ||
2. | Oral | Norfloxacin 200 mg | ||
3. | Oral | Enrofloxacin 200 mg | ||
4. | Oral | Spectinomycin HCl 50 mg | ||
5. | Powder | Lincomycin 22 mg | ||
6. | Powder | Doxycycline hyclate 550 mg Benzoic acid sodium salt 4 mg | ||
7. | Powder | Fosfomycin 200 mg Tylosin tartrate 50 mg | ||
8. | Powder | Enrofloxacin 50 mg | ||
9. | Injectable solution | Spiramycin adipate 200 000 IU Gentamycin sulfate 40 mg Dexamethasone 0.5 mg | ||
10. | Injectable solution | Enrofloxacin 30 mg Sulfamethoxazole 150 mg Trimethoprim 30 mg |
9. Control and prevention of mycoplasma
9.1 Control and prevention
Chicken and turkey flocks should be started with chicks, poults or eggs from M. gallisepticum-free breeding flocks, and direct or indirect contact with potential sources of this organism, such as backyard poultry and pet birds, should be avoided. Similar measures may be employed in game bird flocks; however, finding M. gallisepticum-free breeding stock is more difficult, and game birds released into the wild are likely to become infected. Commercial poultry flocks should be monitored regularly to detect the organism if it is introduced. Infections can be eliminated from a farm by depopulation, followed by thorough cleaning and disinfection of the premises. M. gallisepticum-free breeding stock can be obtained by heat or antibiotic treatment of eggs before incubation, combined with screening of the hatched birds. Excellent biosecurity is needed to prevent its reintroduction into these flocks. When maintaining M. gallisepticum-free poultry flocks is impractical, live and/or killed vaccines can help prevent clinical signs. However, some countries have restrictions on vaccine use, and the currently available live vaccines are not generally employed in turkeys. Good hygiene and management, including measures to control co-infections, are also important in minimizing the clinical impact of M. gallisepticum infections. Routine infection control procedures, including good sanitation and disinfection, reduce the risk of transmitting M. gallisepticum between birds in wild bird rehabilitation facilities. Regular cleaning and disinfection has also been recommended for backyard bird feeders, as it may reduce the spread of this organism between wild finches. However, one study suggests that M. gallisepticum may not survive for more than 24 hours on a feeder.
Because M. gallisepticum can be egg transmitted, and because there is no effective way to reliably eliminate M. gallisepticum from infected flocks, maintaining flocks free of M. gallisepticum infection is only possible by obtaining replacement stock from mycoplasma‐free sources, and then rearing them with adequate biosecurity to prevent introduction of the organism. Frequent testing according to a monitoring program is important to facilitate early detection of M. gallisepticum infection, and to prevent horizontal and vertical transmission. Serologic monitoring of breeder flocks at short intervals (e.g., every 3–4 weeks in turkeys and every 2–3 weeks in chickens) will optimize the ability to detect and prevent the consequences of egg transmission.
Because of the risks of vertical and horizontal transmission from infected flocks, M. gallisepticum infection is usually not tolerated in commercial breeding stock in countries with well‐developed poultry industries. In these countries, infected breeding flocks are typically isolated and eliminated (generally by early marketing/slaughter), their hatching eggs destroyed, and biosecurity and surveillance increased complex‐wide. Depopulated farms are restocked with M. gallisepticum‐clean replacement stock following complete house cleaning and disinfection and extended premises downtime.
However, multiple biosecurity challenges facing poultry companies worldwide, including trends towards multi‐age production complexes and increased poultry population densities involving various types of poultry, may make maintaining M. gallisepticum‐free poultry flocks very difficult. In situations where preventing M. gallisepticum infection is not considered feasible or economically viable, appropriate antimicrobial therapy may be used as a short‐term intervention to reduce morbidity, mortality, production losses, and MG transmission. Vaccination may be considered as a longer-term intervention in some situations.
9.2 Vaccination
The primary objectives of M. gallisepticum vaccination are to provide protection against respiratory disease, drops in egg production and egg transmission, and, in some cases, to displace virulent wild‐type strains on a premises with milder vaccine strains. Vaccination prior to wild‐type exposure is essential. Inactivated, live attenuated, and recombinant M. gallisepticum vaccines are commercially available.
Inactivated vaccines: M. gallisepticum bacterin (MG-Bac) vaccines typically comprise inactivated M. gallisepticum organisms suspended in aqueous oil emulsion or in aluminum hydroxide adjuvants, and are administered by the intramuscular or subcutaneous route.
M. gallisepticum bacterin vaccines have demonstrated efficacy at significantly reducing ovarian regression, egg production losses and egg transmission of M. gallisepticum, although these protective effects were not apparent in all studies. Reports indicating the ability of bacterin vaccines to provide protection against respiratory disease induced by virulent M. gallisepticum have been varied. Although some authors reported significant protection from respiratory disease in bacterin‐vaccinated M. gallisepticum‐challenged chickens, others have reported that bacterin‐vaccinated chickens had no detectable protection against airsacculitis. Chickens vaccinated with bacterins were marginally more resistant to challenge and had somewhat lower M. gallisepticum tracheal loads than unvaccinated chickens after M. gallisepticum challenge. However, these effects were considered to be of limited practical significance in reducing horizontal transmission and in controlling M. gallisepticum infection in the field.
Because bacterin vaccines do not contain live M. gallisepticum organisms, there is no risk of vaccinal transmission or reversion to virulence; however, drawbacks include cost, the requirement for individual bird administration, and the occurrence of local vaccine reactions. To enhance the performance of inactivated M. gallisepticum vaccines, various inactivating agents and adjuvants have been investigated (McMullin 2020).
Live attenuated vaccines: The 3 commercially licensed live M. gallisepticum vaccines currently in common use worldwide are F strain, ts‐11, and 6/85.
Although F strain vaccine is a relatively mild M. gallisepticum strain, the original F strain was reported to be a strain of moderate virulence. F strain vaccines have been used extensively worldwide for the immunization of long-lived chickens, particularly commercial egg type pullets prior to placement in multi‐age production complexes.
F strain vaccines are lyophilized and are labeled for spray or drinking water application, although eyedrop application is commonly practiced in the field. F strain vaccines have demonstrated efficacy at protecting chickens against respiratory disease caused by virulent M. gallisepticum challenge. F strain vaccinated chickens had increased resistance to infection and reduced tracheal colonization of the challenge strain. Protection against vertical transmission of M. gallisepticum and M. gallisepticum‐induced ovarian regression, egg production losses, and egg quality and hatchability losses were reported in chickens vaccinated with F strain vaccines.
F strain persists in the tracheas of vaccinated chickens for the life of the flock, inducing a consistent serologic response. F strain was able to displace the virulent M. gallisepticum strain R from the tracheas of experimentally infected chickens. Displacement of a field strain of M. gallisepticum by F strain in a multi‐age commercial layer flock was reported. However, F strain continued to cycle among flocks on the farm after vaccination was discontinued. F strain is mildly virulent to chickens and is more reactive than the ts‐11 and 6/85 vaccines. F strain vaccines are too pathogenic for use in turkeys. Vertical and horizontal transmission of F strain has been demonstrated experimentally and epidemiological studies have provided evidence for F strain transmission both within and between farms.
The ts‐11 vaccine originated from an Australian M. gallisepticum field isolate (strain 80083) of moderate virulence that was exposed to chemical mutagenesis and selected for temperature‐sensitivity (normal growth at 33°C and reduced growth at 39.5 °C). The ts‐11 M. gallisepticum vaccine has minimal or no virulence for chickens and turkeys. The attenuation of ts‐11 is not dependent on the temperature sensitive (ts+) phenotype. The ts‐11 vaccine strain lacks expression of the GapA cytadhesin. However, GapA expression has been observed in reisolates from infected chickens, and a GapA+ ts‐11 vaccine was apathogenic. The ts‐11 vaccine is distributed as a frozen product for eye‐drop application in chickens. The ability of ts‐11 vaccine to induce protection against respiratory disease resulting from virulent M. gallisepticum challenge in chickens has been demonstrated. Protection was also provided against M. gallisepticum induced ovarian regression and egg production drops, and against vertical transmission of M. gallisepticum. The ts‐11 vaccine does not effectively colonize turkeys; however, immunogenicity and protection were recently reported for a GapA+ts‐11 vaccine in turkeys (McMullin 2020).
The ts‐11 M. gallisepticum strain persists in the upper respiratory tract of vaccinated chickens for the life of the flock and induces a long‐lived protective immunity to M. gallisepticum despite a weak systemic antibody response. The ts‐11 vaccine was not able to displace the virulent M. gallisepticum strain R from the tracheas of experimentally infected chickens. However, displacement, followed by eradication of circulating M. gallisepticum F strain on a commercial layer farm was achieved by ts‐11 vaccination of replacement pullets.
Horizontal transmission of ts‐11 vaccine to commingled birds has been demonstrated in pen studies. Field cases of apparent reversion to virulence and vertical transmission of ts‐11 vaccine have been reported. The virulence and egg transmission potential of an isolate genotyped as ts‐11 from the broiler progeny of a ts‐11 vaccinated breeder flock was subsequently demonstrated.
The 6/85 strain of M. gallisepticum originated in the United States and is regarded as a strain of minimal or no virulence to chickens and turkeys. The 6/85 vaccine is lyophilized and is recommended for application by fine spray. The ability of 6/85 vaccine to induce protection against respiratory disease caused by virulent M. gallisepticum challenge has been demonstrated. In a comparative in vivo protection study, protection induced by 6/85 vaccine was similar to that afforded by ts‐11 vaccine, but less than with F‐strain vaccination. In experimental studies, 6/85 vaccine elicited little or no detectable serologic response, and was detected in the upper respiratory tract of 20% of vaccinated chickens for up to 60–105 days after vaccination. The 6/85 vaccine was not able to displace the virulent R strain of M. gallisepticum in the tracheas of challenged birds. In pen trials, 6/85 vaccine did not transmit to comingled pullets or turkeys, or to sentinel birds. The isolation of 6/85‐like M. gallisepticum from unvaccinated, clinically ill commercial layers and turkeys has been reported (McMullin 2020).
Recombinant vaccines: A recombinant fowlpox‐M. gallisepticum vaccine is available; its safety has been established, and its efficacy evaluated (McMullin 2020).
Other vaccines: A naturally low virulent M. gallisepticum isolate (K5054) from turkeys, genotypically similar to the house finch strain, has shown potential for use as a vaccine in chickens and turkeys. K‐strain, a naturally attenuated M. gallisepticum isolate from layer chickens, was recently shown to be a safe and efficacious vaccine in chickens, inducing significant protection from respiratory disease, M. gallisepticum colonization and ovarian regression in R strain challenged chickens. A modified live M. gallisepticum vaccine designated GT5 was constructed by reconstitution of the avirulent high passage R strain (Rhigh) with the gene encoding the major cytadhesin GapA. The experimental vaccine Mg7 was developed by transposon disruption of the dihydrolipoamide dehydrogenase gene of the virulent M. gallisepticum strain Rlow. The development of subunit vaccines using M. gallisepticum surface proteins has been investigated (McMullin 2020).
10. References
Edward, D. f. and A. Kanarek (1960). Organisms of the pleuropneumonia group of avian origin: their classification into species. Annals of the New York Academy of Sciences 79: 696-702.
García, M., et al. (1994). Analysis of the variability in expression of Mycoplasma gallisepticum surface antigens. Veterinary Microbiology 42(2-3): 147-158.
Glisson, J. R., et al. (1984). The effect of oil-emulsion vaccines on the occurrence of nonspecific plate agglutination reactions for Mycoplasma gallisepticum and M. synoviae. Avian Diseases: 397-405.
Grau, O., et al. (1991). Identification of a plant-derived mollicute as a strain of an avian pathogen, Mycoplasma iowae, and its implications for mollicute taxonomy. International Journal of Systematic and Evolutionary Microbiology 41(4): 473-478.
Hennigan, S. L., et al. (2012). Detection and differentiation of avian mycoplasmas by surface-enhanced Raman spectroscopy based on a silver nanorod array. Applied and Environmental Microbiology 78(6): 1930-1935.
Ivan, D. (2007). Diseases of Poultry: A Colour Atlas, CEVA Sante Animal ISBN 978-954-9411-12-6.
Jan, G., et al. (1996). Purification ofMycoplasma gallisepticumMembrane Proteins p52, p67 (pMGA), and p77 by High-Performance Liquid Chromatography. Protein Expression and Purification 7(2): 160-166.
Kempf, I., et al. (1994). Evaluation of two commercial enzyme‐linked immunosorbent assay kits for the detection of Mycoplasma gallisepticum antibodies. Avian Pathology 23(2): 329-338.
Kleven, S. (1985). Stability of the F strain of Mycoplasma gallisepticum in various diluents at 4, 22, and 37 C. Avian Diseases: 1266-1268.
Kleven, S., et al. (1988). Comparison of Mycoplasma gallisepticum strains by hemagglutination-inhibition and restriction endonuclease analysis. Avian Diseases: 731-741.
Levisohn, S. and S. Kleven (2000). Avian mycoplasmosis (Mycoplasma gallisepticum). Revue Scientifique et Technique (International Office of Epizootics) 19(2): 425-442.
Manafi, M., et al. (2015). Experimental pathology of T-2 toxicosis and mycoplasma infection on performance and hepatic functions of broiler chickens. Poultry Science 94(7): 1483-1492.
Markham, F. S. and S. C. Wong (1952). Pleuropneumonia-like organisms in the etiology of turkey sinusitis and chronic respiratory disease of chickens. Poultry Science 31(5): 902-904.
McMullin, P. F. (2020). Diseases of poultry 14th edition. John Wiley & Sons. ISBN 9781119371168, Taylor & Francis.
Nelson, J. B. (1935). Cocco-bacilliform bodies associated with an infectious fowl coryza. Science 82(2115): 43-44.
Razin, S., et al. (1998). Molecular biology and pathogenicity of mycoplasmas. Microbiology and Molecular Biology Reviews 62(4): 1094-1156.
Tille, P. (2015). Bailey & Scott's diagnostic microbiology-E-Book, Elsevier Health Sciences.
Vogl, G., et al. (2008). Mycoplasma gallisepticum invades chicken erythrocytes during infection. Infection and Immunity 76(1): 71-77.
Yoder Jr, H. W. (1963). Characterization of avian Mycoplasma, Iowa State University.
* Nguyen Thanh Lam, DVM., MSc., PhD
Department of Veterinary Medicine, College of Agriculture, Can Tho University
Address: Campus II, 3/2 street, Ninh Kieu district, Can Tho city, Viet Nam
Phone: +84 (0) 939-468-525
Email: ntlam@ctu.edu.vn


